江崎デンタルクリニックトップ・シンボル

医療法人社団 友優会 江崎デンタルクリニック
〒 156-0051 東京都世田谷区宮坂2-25-20
東高ペアシティ世田谷赤堤107号 TEL 03-5450-3666

 基本臨床例(海外の臨床例)

江崎デンタルクリニック 江崎デンタルクリニック
基本臨床例トップ   Page.1   Page.2  

審美歯周処置・セラミックメタルクラウン装着

アメリカで学び得た、生涯忘れられない臨床

江崎デンタルクリニック、情報公開
江崎デンタルクリニックトップ・シンボル
江崎デンタルクリニックトップ・シンボル

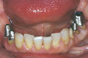
ポスト装着が完了 歯の頭がない前歯牙に金属のポストを装着。これで上顎下顎すべてのポスト装着が終了した。

江崎デンタルクリニック、情報公開
江崎デンタルクリニックトップ・シンボル
江崎デンタルクリニックトップ・シンボル
江崎デンタルクリニック、情報公開

先ほどの石膏歯牙模型に上物クラウン(かぶせ物)を作る為、処理(微調整)を施した。 Dr.江崎作

江崎デンタルクリニック、情報公開
江崎デンタルクリニックトップ・シンボル

セラミックメタルクラウン完成 上顎のクラウン、下額のクラウン、それぞれ石膏模型を元にセラミックメタルクラウンを作ったところ。(技工士作)

江崎デンタルクリニック、情報公開
江崎デンタルクリニックトップ・シンボル

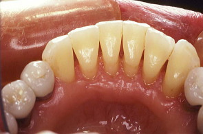
クラウン口腔内装着 先にで製作したセラミックメタルクラウンを口腔内に装着した状態。下顎の適合もgood!!

江崎デンタルクリニック、情報公開
江崎デンタルクリニックトップ・シンボル

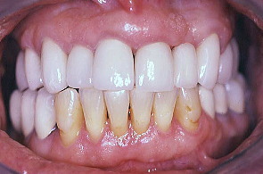
最終補綴物(セラミックメタルクラウン)を口腔内に装着した口元とスマイル。

最後に(まとめ)

江崎デンタルクリニック、情報公開

江崎デンタルクリニックトップ・シンボル

初診時の様子と治療後の写真

江崎デンタルクリニック、情報公開
江崎デンタルクリニックトップ・シンボル

最終補綴物を口腔内に装着した後の記念写真(小生当時29歳)

心も口の中も健康になり、生きることに前向きになった。 患者は私に、これからいろいろ仕事をやってみようと考えていると打ち明けた。「昔は私は看護婦だったんですよ。小説も書いていたんですよ、 そして私はピアノも教えられるんですよ」と・・・。 私はこの症例からいろいろな事を学んだ。初診で来たこの患者は、人生に失望し元気が全くなかった。そのせいかアルコール中毒の 既往もあり、精神科にも通っていた。いろいろな悩みを聞いていくうちに、だんだん打ち解け歯科治療ができるまでになった。 この治療が終わるまで、2年近くかかったが患者の心を大切にゆっくり一つ一つ確実に治療していったことが本当に良かったと思える。 私は審美歯科とは歯の美しさだけではなく根本は、患者の心の審美を満す事が一番大事だと感じた。

  前のページ

基本臨床例トップ


トップ     医院紹介     医院の特徴     診療メニュー     基本臨床例     情報公開     診療予約     旧サイト


トップ     医院紹介     医院の特徴
診療メニュー     基本臨床例     情報公開
診療予約     旧サイト


医療法人社団 友優会 江崎デンタルクリニック

受付時間 AM9:30~PM6:00
定休日:日曜日、祝祭日、木曜日午後
最寄駅:小田急線豪徳寺北口(徒歩約2分)

予約電話番号 予約・ご相談  03-5450-3666

江崎デンタルクリニック・シンボル 江崎デンタルクリニック・シンボル

〒 156-0051 東京都世田谷区宮坂2-25-20
東高ペアシティ世田谷赤堤107号 TEL 03-5450-3666