江崎デンタルクリニックトップ・シンボル

医療法人社団 友優会 江崎デンタルクリニック
〒 156-0051 東京都世田谷区宮坂2-25-20
東高ペアシティ世田谷赤堤107号 TEL 03-5450-3666

 基本臨床例(海外の臨床例)

江崎デンタルクリニック 江崎デンタルクリニック
基本臨床例トップ   Page.1   Page.2  

審美歯周処置・セラミックメタルクラウン装着

アメリカで学び得た、生涯忘れられない臨床

江崎デンタルクリニック、情報公開

初診は口の中の口臭と歯ぐきの腫れと出血で来院する。 患者の第一印象はすごく元気がなかった。過去5年の間に両親および兄弟を全て失い、生きることに望みを失いかけているように見えた。

江崎デンタルクリニック、情報公開
江崎デンタルクリニックトップ・シンボル

年齢55歳、過去の経験から歯科治療に対して恐怖心と疑心があり、治療に対して積極的ではなかった。独身であり犬2匹、猫3匹と一緒に暮らしているという事である。

江崎デンタルクリニック、情報公開
江崎デンタルクリニックトップ・シンボル
江崎デンタルクリニックトップ・シンボル

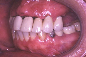
初診時の口の中の状態、歯ぐきは赤く腫れている。特に上の歯肉全体が浮腫して歯肉の締まりがなくなっている。

江崎デンタルクリニック、情報公開
江崎デンタルクリニックトップ・シンボル
江崎デンタルクリニックトップ・シンボル

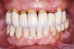
歯科医院指導の下、患者の熱心な歯磨きと衛生士の機械的清掃により、初診時に比べ歯ぐきが引き締まった。

江崎デンタルクリニック、情報公開
江崎デンタルクリニックトップ・シンボル

虫歯の治療:歯ぐきが引き締まった所で、上のクラウンの内部にある虫歯を治療。クラウンをはずす前に白色のワックス(蝋)で患者が好む理想的な仮り歯のかたちを作って示唆した。(ワックスアップの形態は Dr.江崎 作)

江崎デンタルクリニック、情報公開
江崎デンタルクリニックトップ・シンボル

最初の写真は先にワックスで作った形を模倣して口腔内で再現し、仮り歯を作ったもの。次の写真は歯周外科を施し、深い歯周ポケットの歯垢を除去したところ。歯肉の色や艶が健康色を取り戻した。

江崎デンタルクリニック、情報公開
江崎デンタルクリニックトップ・シンボル

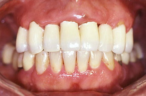
矯正も兼ねて仮歯を修正:歯と歯の隙間を閉じる為仮り歯を修正したところ。患者は健康になり笑顔を取り戻した。日常の話やいろいろな悩みを聞いているうちに大分治療に慣れてきたように感じた。 そして物事をポジティブに考えられるようになってきたということだった。この頃から患者は体の調子を整える為、食事のダイエットを初めた。

プランニングとポスト(芯)作成

江崎デンタルクリニック、情報公開
江崎デンタルクリニックトップ・シンボル

半年後位だったと記憶、初診の頃より約10Kgも痩せ、身体も歯ぐきも健康を取り戻していた。笑顔を忘れていた表情も性格も見違えるほどに明るくなっていた。

江崎デンタルクリニック、情報公開

自分に対して積極的になったある診療の日、突然雑誌のグラビア1枚を差し出し「先生!最後に入れる歯はこんな歯の形にしてください」と頼まれた。私は患者が歯の治療に対しこれほど積極的になってきてくれた事が本当にうれしかった。(左の写真はMs.Podが持ち込んだ雑誌のグラビア)

江崎デンタルクリニック、情報公開
江崎デンタルクリニックトップ・シンボル

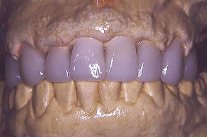
さっそく私は、グラビアに写っている女性と同じ歯の形を仮り歯で再現した。患者はとても喜んでくれた。また一段と笑顔が綺麗になったように感じた。

江崎デンタルクリニック、情報公開
江崎デンタルクリニックトップ・シンボル

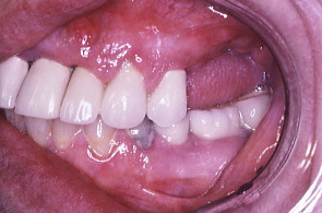
口元と上の歯の仮り歯を拡大して撮影したところ。奥のほうの歯は義歯を入れる予定。

江崎デンタルクリニック、情報公開
江崎デンタルクリニックトップ・シンボル

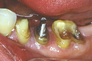
歯冠がないところにはポスト(芯)を入れる。左がプラスチック、右はそれを鋳型にして金属にしたもの。

江崎デンタルクリニック、情報公開
江崎デンタルクリニックトップ・シンボル

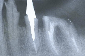
製作した鋳型を口腔内の歯牙に入れ、レントゲンを撮り適合を検査する。

江崎デンタルクリニック、情報公開
江崎デンタルクリニックトップ・シンボル

下顎の歯牙にも同じようなものを作りレントゲンで根っこを検査した。

江崎デンタルクリニック、情報公開
江崎デンタルクリニックトップ・シンボル
江崎デンタルクリニックトップ・シンボル

分割式のプラスチックのポスト(芯)を作製。赤いものがプラスティック、黒が金属のポスト(芯)。

江崎デンタルクリニック、情報公開
江崎デンタルクリニックトップ・シンボル
江崎デンタルクリニックトップ・シンボル

金属のポストを歯牙に装着したところ。レントゲンでその適合をチェック。結果はgood!!

江崎デンタルクリニック、情報公開

金属のポストに仮り歯をかぶせたところ。  ~今後は石膏歯牙模型を作り、クラウン等の上物製作に入る。

次のページ  

基本臨床例トップ  


トップ     医院紹介     医院の特徴     診療メニュー     基本臨床例     情報公開     診療予約     旧サイト


トップ     医院紹介     医院の特徴
診療メニュー     基本臨床例     情報公開
診療予約     旧サイト


医療法人社団 友優会 江崎デンタルクリニック

受付時間 AM9:30~PM6:00
定休日:日曜日、祝祭日、木曜日午後
最寄駅:小田急線豪徳寺北口(徒歩約2分)

予約電話番号 予約・ご相談  03-5450-3666

江崎デンタルクリニック・シンボル 江崎デンタルクリニック・シンボル

〒 156-0051 東京都世田谷区宮坂2-25-20
東高ペアシティ世田谷赤堤107号 TEL 03-5450-3666