江崎デンタルクリニックトップ・シンボル

医療法人社団 友優会 江崎デンタルクリニック
〒 156-0051 東京都世田谷区宮坂2-25-20
東高ペアシティ世田谷赤堤107号 TEL 03-5450-3666

 基本臨床例(海外の臨床例)

江崎デンタルクリニック 江崎デンタルクリニック
基本臨床例トップ   Page.1   Page.2

審美歯科・セラモメタルクラウン装着

クラウンのベースメタル制作

江崎デンタルクリニック、情報公開
江崎デンタルクリニックトップ・シンボル

仮り歯をはずして型を取る準備にかかる

江崎デンタルクリニック、情報公開
江崎デンタルクリニックトップ・シンボル

型を採って石膏を流し出来上がった模型の写真と、かぶせ物を作るための模型上の最終補綴物(青色)。これは模型作り専門の技工士に送る為に製作した。写真の模型は Dr.江崎作

江崎デンタルクリニック、情報公開
江崎デンタルクリニックトップ・シンボル

模型上でセラミックメタルクラウンのベースとなるメタルが完成。(写真のメタルは技工士作)

江崎デンタルクリニック、情報公開
江崎デンタルクリニックトップ・シンボル

綺麗に出来上がった上下顎のメタル。上方から見た写真。

江崎デンタルクリニック、情報公開
江崎デンタルクリニックトップ・シンボル
江崎デンタルクリニックトップ・シンボル

メタル上にポーセレン(陶材)を盛ったものが出来上がる(技工士作)。右側面観、左側面観、正面身の写真。

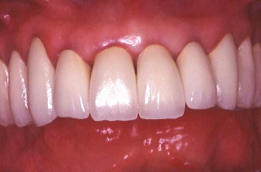
最終補綴物を口腔内に装着

江崎デンタルクリニック、情報公開
江崎デンタルクリニックトップ・シンボル

最終補綴物(クラウン)を口腔内に装着した写真。

江崎デンタルクリニック、情報公開
江崎デンタルクリニックトップ・シンボル

セラミッククラウンを口腔内に装着した上顎前歯の歯列。(採取の写真は製作最終段階のクラウン)

江崎デンタルクリニック、情報公開

   

江崎デンタルクリニックトップ・シンボル

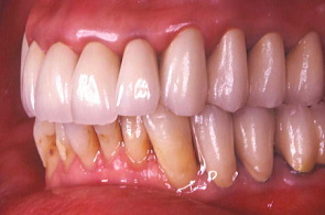
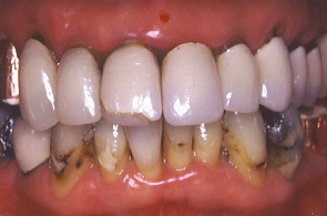
初診時の上下顎歯列の状態と、最終補綴物を口腔内に装着した患者のスマイルライン

江崎デンタルクリニック、情報公開

   

江崎デンタルクリニックトップ・シンボル

最後の診療時の写真を初診時の写真と比較してみる。(最初が初診時)



Thank you very much for your kind acceptance using your photos for showing people.

From Dr.Ezaki

  前のページ

基本臨床例トップ


トップ     医院紹介     医院の特徴     診療メニュー     基本臨床例     情報公開     診療予約     旧サイト


トップ     医院紹介     医院の特徴
診療メニュー     基本臨床例     情報公開
診療予約     旧サイト


医療法人社団 友優会 江崎デンタルクリニック

受付時間 AM9:30~PM6:00
定休日:日曜日、祝祭日、木曜日午後
最寄駅:小田急線豪徳寺北口(徒歩約2分)

予約電話番号 予約・ご相談  03-5450-3666

江崎デンタルクリニック・シンボル 江崎デンタルクリニック・シンボル

〒 156-0051 東京都世田谷区宮坂2-25-20
東高ペアシティ世田谷赤堤107号 TEL 03-5450-3666