江崎デンタルクリニックトップ・シンボル

医療法人社団 友優会 江崎デンタルクリニック
〒 156-0051 東京都世田谷区宮坂2-25-20
東高ペアシティ世田谷赤堤107号 TEL 03-5450-3666

 基本臨床例(海外の臨床例)

江崎デンタルクリニック 江崎デンタルクリニック
基本臨床例トップ   Page.1   Page.2

審美歯科・セラモメタルクラウン装着

初期診療、分析とプランの作成

江崎デンタルクリニック、情報公開

初診時のMrs.Webの顔写真。顔全体と口元、歯のバランスをしっかりと確認する。口の中ばかりに注目していると顔全体とのバランスを見落としがちになるので、最初にしっかりと確認した。

江崎デンタルクリニック、情報公開
江崎デンタルクリニックトップ・シンボル

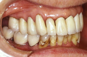
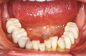
最初の写真、歯が欠けているのがわかる。下は初診時の口腔内の状態。いたるところに虫歯が見られる。

江崎デンタルクリニック、情報公開
江崎デンタルクリニックトップ・シンボル

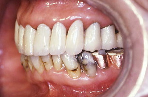
古いクラウンの経年劣化等が見受けられ、処置が必要である。

江崎デンタルクリニック、情報公開
江崎デンタルクリニックトップ・シンボル
江崎デンタルクリニックトップ・シンボル

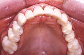
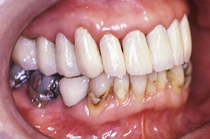
上下歯列を噛む面から見たところ(上下)。初診時の前歯を横から撮った写真では、かなり出っ歯になっているのがわかる。

江崎デンタルクリニック、情報公開
江崎デンタルクリニックトップ・シンボル

前歯のかぶせ物の治療の参考にする為、天然歯が存在する時の写真を持参してもらった(結婚式の写真)。

江崎デンタルクリニック、情報公開
江崎デンタルクリニックトップ・シンボル
江崎デンタルクリニックトップ・シンボル

結婚式の写真を参考にして石膏模型上のワックスを製作。最終的に入れるかぶせ物の理想的な形態を形作り、患者に見てもらう。Dr.江崎作

ワックスをベースに仮歯の作成

江崎デンタルクリニック、情報公開
江崎デンタルクリニックトップ・シンボル

上顎ワックス歯列と下顎ワックス歯列が完成

江崎デンタルクリニック、情報公開
江崎デンタルクリニックトップ・シンボル

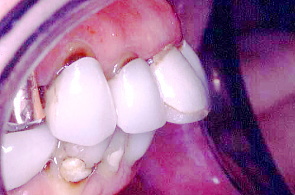
入っていた古いクラウンを外し、虫歯を除去。先ほど作ったワックスの形を元に上顎の仮り歯を作った。

江崎デンタルクリニック、情報公開
江崎デンタルクリニックトップ・シンボル
江崎デンタルクリニックトップ・シンボル

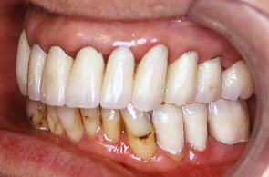
右側面観と左側面観。最後は仮り歯を入れたスマイルライン(最後の写真)。

江崎デンタルクリニック、情報公開
江崎デンタルクリニックトップ・シンボル

はずした上顎の仮り歯。右側は下顎仮り歯の写真。前に入っていた古いクラウンをはずして虫歯除去は処置済み。

江崎デンタルクリニック、情報公開
江崎デンタルクリニックトップ・シンボル
江崎デンタルクリニックトップ・シンボル

下顎に仮り歯を入れた正面観。スマイルライン

次のページ  

基本臨床例トップ


トップ     医院紹介     医院の特徴     診療メニュー     基本臨床例     情報公開     診療予約     旧サイト


トップ     医院紹介     医院の特徴
診療メニュー     基本臨床例     情報公開
診療予約     旧サイト


医療法人社団 友優会 江崎デンタルクリニック

受付時間 AM9:30~PM6:00
定休日:日曜日、祝祭日、木曜日午後
最寄駅:小田急線豪徳寺北口(徒歩約2分)

予約電話番号 予約・ご相談  03-5450-3666

江崎デンタルクリニック・シンボル 江崎デンタルクリニック・シンボル

〒 156-0051 東京都世田谷区宮坂2-25-20
東高ペアシティ世田谷赤堤107号 TEL 03-5450-3666