初診と虫歯治療(前準備)
私がアメリカで学び、得た、生涯忘れられない臨床
  |
虫歯の治療
歯ぐきが引き締まった所で上のクラウンの内部にある虫歯を治療。
クラウンをはずす前に白色のワックス(蝋)で患者が好む理想的な仮り歯のかたちを作って示唆したところ。
(ワックスアップの形態はDr.江崎作)
|
|
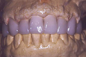
左は上のワックスで作った形を模倣して口腔内で再現し仮り歯を作った。
右の写真は歯周外科を施し、深い歯周ポケットの歯垢を除去したところ。歯肉の色や艶が健康色を取り戻した。
|
  |
|
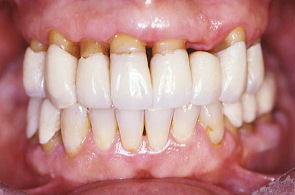
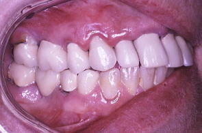
矯正も兼ねて仮歯を修正 歯と歯の隙間を閉じる為仮り歯を修正したところ。患者は健康になり笑顔を取り戻した。
日常の話やいろいろな悩みを聞いているうちに大分治療に慣れてきたように感じた。
そして物事をポジティブに考えられるようになってきたということだった。この頃から患者は体の調子を整える為、食事のダイエットを初めた。
|
 |
 |
|