世田谷の歯科医院、予防歯科、一般歯科、審美歯科、インプラント、(医院総合&臨床データ)、米国歯科補綴専門医、米国歯学修士
医療法人社団 友優会
江崎デンタルクリニック
受付時間 AM9:30〜PM6:00
定休日:日曜日、祝祭日、木曜日午後
最寄駅:小田急線豪徳寺北口(徒歩約2分)
     
ご予約について
〒 156-0051 東京都世田谷区宮坂2-25-20
東高ペアシティ世田谷赤堤107号
03-5450-3666
  TOP - 基本臨床例 - 審美(セレモメタルクラウン装着)(1)

初期診療、分析とプランの作成

  1. 2. 3. 4

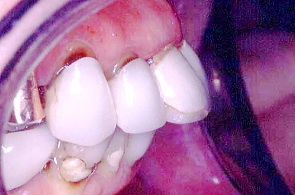
初診時の正面観と初診時の口元。右上の写真、歯が欠けているのがわかる。下は初診時の口腔内の状態。いたるところに虫歯が見られる。



古いクラウンの経年劣化等が見受けられ、処置が必要である。

上下歯列を噛む面から見たところ。初診時の前歯を横から撮った写真(右の写真)。かなり出っ歯になっているのがわかる。


前歯のかぶせ物の治療の参考にする為、天然歯が存在する時の写真を持参してもらった。(結婚式の写真)

結婚式の写真を参考にして、石膏模型上のワックスで最終的に入れるかぶせ物の理想的な
形態を形作り、患者に見てもらう。(Dr.江崎作)


 医療法人社団 友優会
江崎デンタルクリニック
〒156-0051 
東京都世田谷区宮坂2-25-20
東高ペアシティ世田谷赤堤107号

診療受付時間: 9:30〜18:00(予約制)
定休日:日曜日、祝祭日、木曜日午後
当院は保険診療も行っています。
ご予約、お問い合わせ
03-5450-3666
  
■ 診療科目
一般歯科、小児歯科、審美歯科、インプラント、審美歯列矯正、歯周外科、歯周病内科的療法、顎関節症
メール・相談 ご予約について

(C)2015 Ezaki Dental Clinic All Rights Reserved.

TOP