世田谷の歯科医院、予防歯科、一般歯科、審美歯科、色が長持ちするホワイトニング、米国歯科補綴専門医、米国歯学修士
医療法人社団 友優会
江崎デンタルクリニック
受付時間 AM9:30〜PM6:00
定休日:日曜日、祝祭日、木曜日午後
最寄駅:小田急線豪徳寺北口(徒歩約2分)
     
ご予約について
〒 156-0051 東京都世田谷区宮坂2-25-20
東高ペアシティ世田谷赤堤107号
03-5450-3666
  TOP - 診療メニュー - ホワイトニング

はじめに

江崎デンタルクリニックでのホワイトニングの手順についてご紹介します。

当クリニックでは、クリニックにお越しいただきその場で薬品と機材を使用して行うオフィス・ホワイトニング(オフィスブリーチ)と、必要な道具を前もって準備・作成し、お持ち帰りいただき自宅でご自身で行うホーム・ホワイトニングの両方を準備しております。

当クリニックでは、ほとんどのケースで痛みが少なく色が長持ちするホームホワイトニングをお勧めしています。
 

1.歯医者さんでするオフィスホワイトニング

事前検査
ホワイトニングができるか検査します。同時に、歯の色の診断、写真を撮り、計数化します。
 
歯の表面を整えます
歯をしっかり磨き、歯の表面の汚れを取り、ホワイトニングの下地作りを行います。
 
保護
ホワイトニングを行わない、歯の周辺を保護します。
 
ホワイトニング・実工程
ホワイトニング材を歯の表面にぬり、合計30〜45分間、専用のライトで照らします。
(個人差により照射時間が変わることがあります)
最後に再度、歯の表面を磨きます。
 
後検査
ホワイトニング完了後に異常がないかを検査します。更に歯の色の診断を行い、写真を撮ります。


■シェードアイNCC
 光源からの光を天然歯に当て、反射光を測定することによって色を判断する歯科用色彩計。さまざまな照明条件・比色環境でも天然歯の色調を正確に測色する。

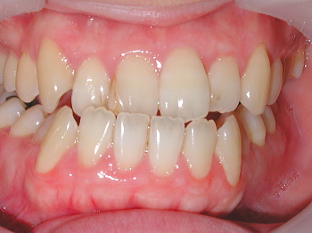
処置前
 
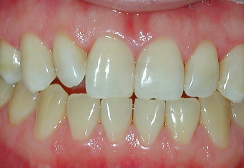
  処置後

2.オフィスホワイトニング後のケアーについて

歯の表面を覆っている被膜(ペリクル)はクリーニングや、ホワイトニングで除去され、12時間から24時間かけて再生されます。再生するまでは色の濃い食べ物、飲み物は控えていただきます。
オフィスホワイトニング後24時間避けたほうがいいもの
口紅
コーヒー コーラ 赤ワイン 紅茶 日本茶 焼肉 やきとり
ジュース類 きゆうり・トマトなどの色の濃い野菜
ヤキソバ カレーライス スパゲッティ みそ・醤油ラーメン からし わさぴ チョコレート
大福 ぶどう・イチゴなどの色の濃い果物    
色つきの歯磨き粉 うがい薬
  
オフィスホワイトニング後24時間以内に口にしてよいもの
水 白ワイン 色の薄いビール
牛乳 ヨーグルト チーズ
鶏肉 自身魚(醤油なし) ナッツ類 大根 里芋
パン フライドポテト ポテトチップス(塩味)
米 お粥 貝柱 えび しらす お吸い物 白味噌汁
ラーメン(とんこつ・塩・バター) スパゲッティー・カルボナーラなどのホワイトソース
※ ご不明な点がございましたら、ご遠慮なくお問い合わせください

3.オフィスホワイトニングの注意事項

  1. ホワイトニング治療は個人によりその効果が異なりますので、すペての方が必ずしも現在の状態から改善されるという保証はありません。変色の原因によっては色調の改善が見込めないこともあります。しかし多くの場合、シエードガイドを基準として、3〜4段階明るさが増します。
  2. ホワイトニング効果の持続期間は、ホームホワイトニングと違って白くなるのが早い分、後戻りも早いことがあります。ホワイトニングの持続期間は変色の原因及び生活習慣によって変わってきますが、もし早めに色が戻ってしまうのを防ぐ為2〜3ケ月に一度のタッチアップによってその白さを保つことができます。
  3. すでに知覚過敏の傾向があり場合、ホワイトニングを行うことでさらに症状が悪化することがありますので前もって伝えておかれることをお勧めします。
  4. 妊娠する可能性が高い方、あるいは妊娠中・授乳中の方にはホワイトニングは適用できません。時期をずらして行うことをお勧めします。
  5. ホワイトニングを行うと、歯の表面に点状に白い部分が現れることがあります。これは歯に元々あるものが、ホワイトニングにより強調されたものです。数週聞から数ヶ月経つと周りになじんできますが、それでも気になる場合は、歯を削って白いつめものをするなどの処置が必要となります。
  6. 通常、ホワイトニングにより、神経のある歯の色調は明るく変化します。しかし、充填物(つめもの)、補綴物(かぶせもの)の色調は変化せず、神経の無い歯も変化は小さくなります。そのためこれらの色調が異なって見えるようになりますので、あまり目立つ場合はこれらの処置(つめものやかぶせもの)をやり直す必要があります。また、神経の無い歯のホワイトニングでは、歯の内側(神経の入っていたスペース)へ薬剤を入れ、内側から白くするという方法をとることもできます。

4.自宅で行う、ホームホワイトニング


事前検査
ホワイトニングができるかどうか検査します。同時に、歯の色の診断も行い、写真を撮ります。
 
マウスピース製作
ご家庭で使う、専用のマウスピースを作ります。
 
ホワイトニング・実工程
専用のホワイトニング材をマウスピースに入れ、自宅で毎日決められた時間装着します。 
NITEホワイト・エクセルは、審美歯科の先進国アメリカで生まれたホワイトニングシステムです。『白くきれいな歯』への意識の高いアメリカで高いシェアをキープしており、日本においても、すでに10年以上の臨床実績をもつホワイトニングシステムです。NITEホワイト・エクセルは、受診者の歯列にフィットしたマウストレーにホワイトニングジェルを用いて使用します。1日2時間の使用で、およそ2週間という短い期間で着色歯面の改善を行うことが可能です。(効果は個人差や飲食嗜好習慣等によって異なります。)

NITEホワイト・エクセルの主成分である過酸化尿素は歯面への刺激が少なく、受診者の自由な時間に合わせてご使用頂くことができます。NITEホワイト・エクセルを使用することにより、主に加齢による着色、喫煙等外因性による着色、遺伝による着色が改善されます。「後戻り」が少なく効果の持続が期待できできます。




処置前

  処置後

5.ホワイトニングについてのよくある質問にお答えします

どうやって歯を白くできるの?
歯の変色には、加齢によるもの、コーヒーやお茶、赤ワインなど歯の表面から沈着する
もの、薬物によるものなど色々あります。(ただし、個人差があります。)
ホワイトニングはホワイトニング材を歯の表面からしみこませ、歯の中の色素を分解させる方法です。
  
ホワイトニングは安全ですか?
ホワイトニング材はアメリカでもその安全性が証明されています。また、歯医者さんで行う場合に使用するライトは最新工学技術を使用して紫外線や赤外線をカットしており発熱がほとんどなく安全です。
 
痛くないの?
歯医者さんでホワイトニングを行う場合、最新の器材で行いますのでほとんど痛みが出ません。お家で行う場合にも、まれに知覚過敏(歯がしみるような症状)が起きることがありますが、使用を一時中断することにより、症状は軽減または消失します。また、人によっては治療後に軽い違和感を感じることがあるかもしれませんが、短時間ですぐに緩和します。
江崎デンタルクリニックでは、ほとんどのケースで、痛みが少なく色が長持ちするホームホワイトニングをお勧めしています。
   
どのくらい時間がかかりますか?
歯医者さんでホワイトニングを行う場合、わずか30〜45分ほどで歯の色が変わります。ヘアカット、マニュキアあるいはお茶を飲む時間ほどででき、とても簡単です。
 
歯の白さはどのくらい持続できるの?
効果が持続する期間は飲食習慣や歯の構造によって個人差があります。より長く白さを維持するためには定期的なクリーニングとホワイトニングをお勧めします。
 



 医療法人社団 友優会
江崎デンタルクリニック
〒156-0051 
東京都世田谷区宮坂2-25-20
東高ペアシティ世田谷赤堤107号

診療受付時間: 9:30〜18:00(予約制)
定休日:日曜日、祝祭日、木曜日午後
当院は保険診療も行っています。
ご予約、お問い合わせ
03-5450-3666
  
■ 診療科目
一般歯科、小児歯科、審美歯科、インプラント、審美歯列矯正、歯周外科、歯周病内科的療法、顎関節症
メール・相談 ご予約について

(C)2015 Ezaki Dental Clinic All Rights Reserved.

TOP