江崎デンタルクリニックトップ・シンボル

医療法人社団 友優会 江崎デンタルクリニック
〒 156-0051 東京都世田谷区宮坂2-25-20
東高ペアシティ世田谷赤堤107号 TEL 03-5450-3666

 診療メニュー

江崎デンタルクリニック 江崎デンタルクリニック

歯周病治療

歯周病とは、歯の周りを支える組織(歯肉、歯根膜、セメント質、歯槽骨:右図参照)が歯周病菌の細菌に感染して炎症をおこし破壊され、最終的に歯を失う病気です。

歯周病について説明

歯周病が起こる原因

歯周病予防の基本となるのはやはり、規則正しい生活と歯磨きである。患者さんが医院に来られて「私は歯磨きをしっかりやっているのに虫歯や歯周病なるのです」と時々言われるのですが、残念ながらほとんどの人は「歯を磨いたつもり」になっているだけで、磨き残しがある方がほとんどです。大事な事は朝起きて眠気まなこで、ただ漠然と歯を磨くのではなく、時間をかけ心から「歯槽膿漏や虫歯を作らない」という強い気持ちがないと上手くいきません。
歯と歯の間には食べ物が詰まり易く、そこから虫歯になったり、歯周病になっていきます。 それを防止するには、デンタルフロス(糸ようじ等)で歯と歯の間を必ず掃除する必要があり、その為には時間を充分にかける必要があります。会社勤めの人は朝忙しく、歯磨きは家を出る直前10~20秒やるだけの人が多くいます。

歯周病について説明

また夜も、帰ってくると疲れていて、歯磨きを怠る方もいらっしゃいます。ですので、規則正しい生活と歯磨きの習慣は毎日時間を充分に取ることができるような生活のサイクルから見直していかないと長続きせず、上手く行かなくなるというのはいうまでもありません。また、小さいお子さんがいらっしゃる方は、小さいころから正しい歯ブラシの習慣を身に付けていくことが大切だと思います。以下にご参考迄、歯周病の要因を纏めてみましたのでご確認ください。

不適切な歯磨き
不適切な歯磨きにより歯の表面に食事した食べかすが残り、そこに細菌が付着します。細菌が出す酵素により、歯垢という白い粘着物ができます。その粘着物は90%が細菌と言われ、それが歯肉の炎症や歯槽骨の喪失を引き起こします。
 
たばこ・喫煙
タバコのニコチンの作用により体の中の血流が悪くなり、更に細菌と戦う免疫防御反応が著しく弱くなり、歯周病を引き起こします。
 
全身疾患
糖尿病など全身疾患の病気があると、これも体の免疫防御反応が弱 くなっている為、細菌の力が強くなり、歯周病を引き起こす要因になります。
 
不規則な生活習慣・・・食生活
野菜等の繊維性の多い食物をとらなかったり、柔らかい食べやすいものばかりの食事はお口の中や歯と歯の間に食べかすが停滞しやすいので、虫歯や歯周病の原因になります。また、ビタミンの摂取は体、もちろん歯や歯茎にとっても欠かせない栄養になります。
 
ストレス
ストレスが多いと体の免疫機能が低下すると言われています。なるだけストレスを溜めないように工夫します。ストレスが多いと歯ぎしりの原因にもなり、歯ぎしりは歯茎を傷め歯周病を引き起こし、悪化させやすい。
 

外科による治療(外科手術)

重度に進行した歯周病は、外科的に処置を加えないと治療できない場合があります。その主な目的は、深くなった歯周ポケットの切除、深い歯周ポケットの中の歯根面に付着した歯石の除去、歯周病により、デコボコになった歯肉下の骨を綺麗(滑らか)にすることです。以下に外科処置の詳細および各治療ステップを示していきます。

注意) 喫煙中の方は再発の確率が高いので、基本的には外科手術を行いません。長期の禁煙を確認した上で治療を開始します。

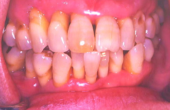
① 初診時の口腔内の状態:歯と歯の間に黒い歯石が見られ、歯肉は腫れている。

② 患者の熱心な歯磨きと医師や衛生士の機械的な歯のクリーニング(PMTC)により、 歯肉は艶を取り戻した。

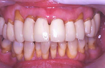
③ 上の前歯は少しぐらぐらするので、歯と歯の間をボンドで止め固定した。患者の熱心な歯磨きにより前回よりいっそう歯肉が引き締まり健康になった。しかし歯周ポケットは深いままなので外科によりポケットを除去しなければならない。この状態は治ったように見えるが、これは見せかけの治癒で本当は完治していない。

④ 外科処置前に上の歯の虫歯治療と6本の歯の動揺(ぐらぐら動くこと)防止目的で歯を削り6本をひとまとめにした仮り歯を入れ、固定しなければならない。

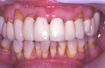
⑤ 上の歯に仮り歯を装着した状態。このあと歯周ポケット除去を行う外科手術に移る。

⑥ 骨が異常に減退しているので歯冠が長く見える。また歯の根っこの表面に歯石が見られ、これが存在する限り、歯周病はよくならないのでこれを取り除くのも一つの大きな外科の目的である。○印で示しているのは歯周ポケットの中で歯根面に付着していた歯石である。

⑦ この写真でも骨が異常に減退した長い歯冠とその歯の根っこの表面に歯石が見られる。○印で示しているのは歯周ポケットの中で歯根面に付着している歯石。

⑧ 歯根に付着していた歯石を除去した。もう一つの大きな外科手術の目的は歯周骨が細菌作用により、デコボコになった骨の表面部分を滑らかに整える事である。

⑨ 歯周外科により、歯根面全体と骨表面がきれいに清掃、整えられた。

⑩ 歯肉を閉じて縫合した状態。

⑪ 歯肉縫合後仮り歯を入れた状態。

⑫ その上に歯周パック(歯周包帯)を張った状態

⑬ 術後1週間、歯周パックを除去したところ

⑭ 縫合糸を除去したところ

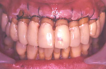
⑮ 上下全歯牙の歯周外科処置終了、二か月が経過

⑯ 下顎歯列の矯正中

⑰ 矯正治療後の状態

⑱ 上下歯牙に最終段階のかぶせ物を作っていく

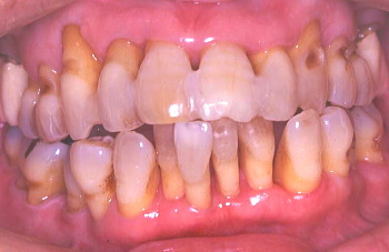
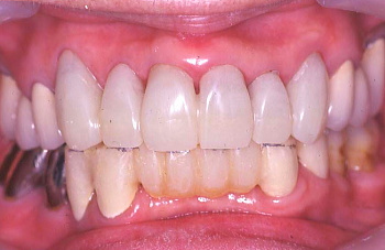
⑲ 上下歯牙に最終補綴物が入り治療が完了した

治療前と治療後の口腔内を比較

初診時の口腔内の状態

最終治療後の状態

薬による内科的治療方法

薬による内科的治療方法は歯茎に薬をつけて、深くなったポケット内に存在する細菌を抑制・コントロールする治療法です。この治療は比較的早期に治癒の兆しが感じられ、お口の中の不快なねばねば感や口臭なども取れていきます。これは、口の中で密接に共存している歯周病菌(以下の動画で紹介)とカビ菌の環境のなか、片方のカビ菌を殺すことにより共存している歯周病菌を死滅させることを目的としている新しい歯周病の治し方です。外科治療を強く好まない患者さんや全身疾患、体力不足などで外科処置ができない方に大変有効な治療方法です。

※ この方法は平成13年11月20日の朝日新聞(夕刊)とインターネット(asahi.com)に掲載されました。

歯周病について説明

口腔内の歯周病菌(動画再生)

歯周病退治は歯磨きよりも抗かび剤のうがい

簡単なうがいで歯周病が治る、との論文が歯科専門誌最新号に発表された。これまで歯磨きが中心だった歯周病の新しい治療法として、開業歯科医師の間で注目を集めている抗かび剤治療の簡略版だ。 『大学研究者は民間療法と馬鹿にせず、解明に取り組んでほしい』と、筆者の山本共夫・歯科医師(横浜市神奈川区)は訴えている。歯周病は世界的な定説になっている細菌ではなく、かびのカンジダ菌が原因、との新説を打ち出したのは神奈川県茅ケ崎市の河北正・歯科医師。 河北さんは、抗かび剤アムホテリシンBのシロップ原液で1週間うがいするなどの治療を勧めている。 全国でかなり多数の歯科医師が取り入れている。 山本さんは河北説に関心を持ち、自分自身や患者の口内のカンジダ菌を調べ、抗かび剤の使用法を工夫した。その結果、抗かび剤はずっと薄くていいと確信。デンタルダイヤモンド誌11月号に発表された山本さんの論文によると、今年1月から326人を調べた。舌や前歯、奥歯など口内6カ所を綿棒でこすって培養すると、8割以上の患者からカンジダ菌が見つかった。 市販のうがい薬20~30ミリリットルにアムホテリシンBを1滴入れ、1日1回、30秒~1分間のうがいをすると、8割以上は1、2カ月で口臭が消え、歯周病が改善した。うがい後1分間の歯磨きが従来の15分に匹敵する清掃効果も認められた。 さらに、口内炎、便秘や下痢、痔(じ)なども改善した。 菌の体内への広がりを入り口で抑えた結果ともみられ、「かび関連の病気は予想以上に多い可能生もある」と山本さんはいう。 歯周病は悪化すると、手術も必要になる。「月4、5人あった歯周病手術が今年はゼロ。この治療が普及すれば、大変な医療費の節約になる。研究者は本気で研究してほしい」と、山本さんはいう。

治療の順序

当医院での治療の進め方は、まず初診にX線診査並びに口腔内診査をします。その後患者の口腔内より直接歯垢とり顕微鏡下で細菌をチェックします。


診断後、本当療法に適していると診断された場合は、薬を投与し治療を進めていきます。軽度の歯周病患者の場合は歯ブラシに1滴つけて日1回、重度の疾患の場合は1日2~3回、1~2週間歯磨きを続けてもらいます。

歯周病について説明

特に急性症状がある歯槽膿漏の場合は抗生剤(飲み薬)と併用して治していきます。

歯周病について説明

さいごに

最初のアポイントから約1週間、抗かび剤と歯ブラシ・うがいの治療を続けてもらい1週間後に状態をチェツクします。症状の改善が認識できれば歯のクリーニング(PMTC)の段階に進みます。更に、より一層の歯茎の健康を目指すため、症状や状態に合わせ何回かに分けて歯のクリーニング(PMTC)を繰り返します。 これだけで大部分の歯槽膿漏(歯周病)が改善します。しかし一番大切なことは、毎日の歯磨きをしっかり続けないといけないことです。これを守らないと、また元の状態に戻ってしまいます。このように歯周病は治らない病気ではありません。気になる方は是非一度、当クリニックへお問い合わせください。





トップ     医院紹介     医院の特徴     診療メニュー     基本臨床例     情報公開     診療予約     旧サイト


トップ     医院紹介     医院の特徴
診療メニュー     基本臨床例     情報公開
診療予約     旧サイト


医療法人社団 友優会 江崎デンタルクリニック

受付時間 AM9:30~PM6:00
定休日:日曜日、祝祭日、木曜日午後
最寄駅:小田急線豪徳寺北口(徒歩約2分)

予約電話番号 予約・ご相談  03-5450-3666

江崎デンタルクリニック・シンボル 江崎デンタルクリニック・シンボル

〒 156-0051 東京都世田谷区宮坂2-25-20
東高ペアシティ世田谷赤堤107号 TEL 03-5450-3666