江崎デンタルクリニックトップ・シンボル

医療法人社団 友優会 江崎デンタルクリニック
〒 156-0051 東京都世田谷区宮坂2-25-20
東高ペアシティ世田谷赤堤107号 TEL 03-5450-3666

 修士論文

江崎デンタルクリニック 江崎デンタルクリニック
Page.1   Page.2  

セラモメタルクラウンの適合検査(顕微鏡下での分析とその考察)

Boston大学 マスターオヴサイエンス 修士論文実験内容 その2

江崎デンタルクリニック、情報公開

次は4個のクラウンをろう着(溶接)してつなぎ合わせる。

江崎デンタルクリニックトップ・シンボル

4個のクラウンをピックアップする

江崎デンタルクリニックトップ・シンボル

クラウン内面に埋没材を流し込む

江崎デンタルクリニック、情報公開

前歯は取り外せるよう可徹式(取り外しできる事)にした。

江崎デンタルクリニックトップ・シンボル

ろう着(溶接)前の段階

江崎デンタルクリニックトップ・シンボル

ろう着(溶接)前段階。クラウンの内側ろうを溶かして溶接する。

江崎デンタルクリニック、情報公開

溶かすための金ろうを歯と歯の間に置く。

江崎デンタルクリニックトップ・シンボル

それを釜の中に入れてろうを溶かし溶接する。

江崎デンタルクリニックトップ・シンボル

ろうが溶かされ、ろう着(溶接)した後の状態。

江崎デンタルクリニック、情報公開

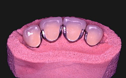
それを本模型にもどした状態。

江崎デンタルクリニックトップ・シンボル

ろう着面を綺麗に研磨した(舌面観)。

江崎デンタルクリニックトップ・シンボル

ろう着面を綺麗に研磨した(正面観)。

江崎デンタルクリニック、情報公開

ろう着でつながった4個のクラウンを本模型(金属)に戻し、顕微鏡で再度マージンの状態を観察した。

実験結果・概要

掲載の実験結果は論文実験内容の一部で、あくまでも大体どういうことを行ったのかの説明である。以下に結果を簡単に記載する。

  1. ポーセレン(陶材)マージンはメタルマージンよりも熱を加えると変形が大きい。
  2. ポーセレン(陶材)の焼成回数が多くなれば多くなるほど、ポーセレン(陶材)マージンの変形量が大きい。しかし単独冠では最終焼成でその変形したオープンマージンを修正追加でき、クローズする事ができる。
  3. 単独冠の最終焼成でオープンマージンを修正クローズする事ができるが、他のクラウンと連結させるためファーネス内で後ろう着(溶接)すると多少はポーセレンマージンは収縮する。
  4. 他のユニットとの連結の後、ろう着後のポーセレンマージンとメタルマージンは、ろう着前と比べ、後にろう着後の方が変形は両方共に起こるが、メタルマージンよりポーセレンマージンのほうがその度合いは大きい。

つまり簡単にいうと、歯肉が黒く見えない作り方をするカラーレス・セラモメタルクラウンは普通のセラモメタルクラウンより、製作過程で熱によるマージンの変形収縮が起こりやすい。従って、製作の各段階でマージンを注意深く観察し、慎重に対処補正しなければならない。また、唇側のカラーレスのところでボディーポーセレン焼成後、大きなポーセレンマージンの収縮が起きたならば、その後のグレーズ時に焼成温度の低い低溶ポーセレンを用いてマージンの収縮を必ず補う必要がある。つまり、カラーレスにおいては連結冠を作る際は、後ろう着よりも前ろう着で製作したほうが、ポーセレンマージンの変形を防ぐことができ、また修正しやすい。 しかし、極端なロングスパンでは操作も難しい為、後ろう着が安全なのかもしれない。

この論文および実験を行うにあたり、親身なご指導を頂いた Boston大学 補綴科臨床教授(故)Dr.Robert S.Stein に深く感謝致します。

あとがき

私はこの偉大なる先生(Dr. Robert S. Stein)に出会わなかったら歯科医師という、人生でやりがいのある仕事を一生知ることはできなかったであろう。  私は1986年この先生に出会い患者の臨床的手技や臨床実験方法等、多くのことを直接指導受けることができた。この先生は若いころは新聞配達などをして生計を立て歯科技工士を経て歯科医師になった苦労人である。

そして歯科界で有名なBoston大学の教授となった。 歯科医師なら誰でも知っているエマージェンスプロファィルの発見者は、まさにこの教授なのである。ドクターは自分の医院で臨床を行い、同時に大学で学生に、自身で行った実際の臨床結果や経験を講義する。つまり、物を書くだけの講師、教授ではなく臨床、歯科技工、実験、講義を行い、自分でやってみて、自分で作り、自分で考え、自分で書き、そしてそれを人に伝える。 まさに情熱と根性の塊で、ただひたすら患者、学生、そして世の中に貢献する歯科医だった。

私は大学構内の技工・ラボに通い、いつも歯科技工をしていた(当時29歳)。私はこの実験の前準備として平日は図書館で文献を読み、週末土曜日、日曜日は技工・ラボに通いDr.Steinの指導の下、セラモメタルクラウン作りの練習を行っていた。

今ではとてもいい経験になったと、いつも思い出す。

 前のページ


トップ     医院紹介     医院の特徴     診療メニュー     基本臨床例     情報公開     診療予約     旧サイト


トップ     医院紹介     医院の特徴
診療メニュー     基本臨床例     情報公開
診療予約     旧サイト


医療法人社団 友優会 江崎デンタルクリニック

受付時間 AM9:30~PM6:00
定休日:日曜日、祝祭日、木曜日午後
最寄駅:小田急線豪徳寺北口(徒歩約2分)

予約電話番号 予約・ご相談  03-5450-3666

江崎デンタルクリニック・シンボル 江崎デンタルクリニック・シンボル

〒 156-0051 東京都世田谷区宮坂2-25-20
東高ペアシティ世田谷赤堤107号 TEL 03-5450-3666